Johans Anteckningar

Home

❯

Anatomi & Histologi

❯

Histologi

❯

Njure

❯

Märgstråle

Märgstråle

Nov 20, 2025

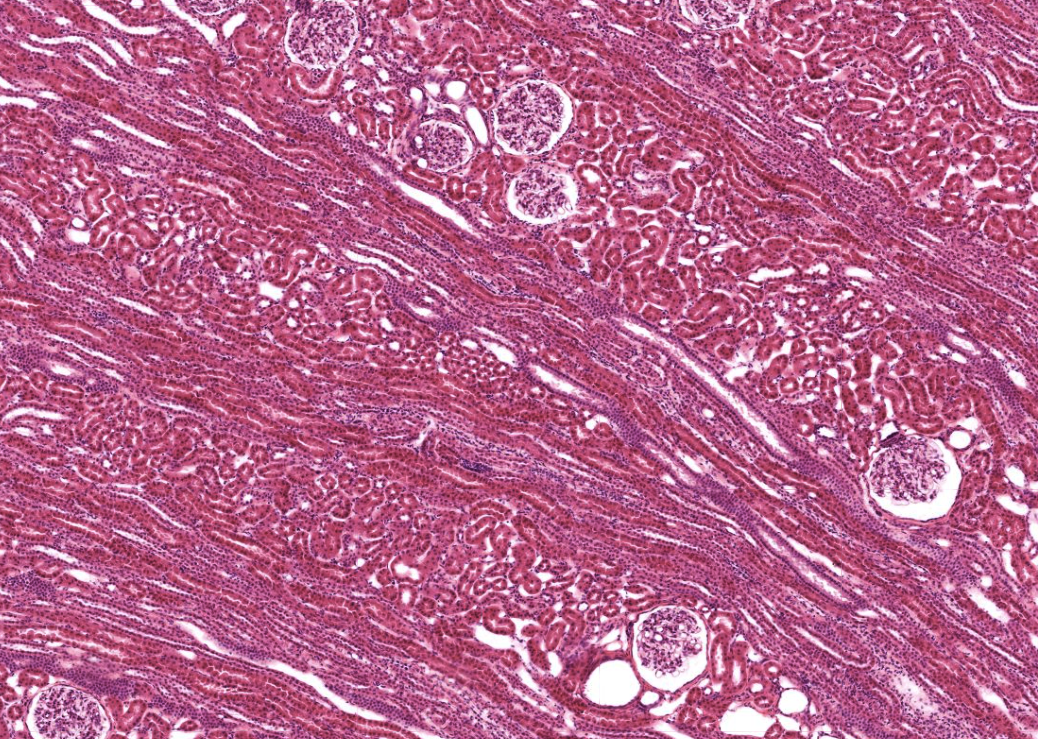
Kännetecken

  • Ser ut som tuber som går mellan bark och märg.
  • Namnet är lite missvisande då de ligger i barken, inte i märgen.

Vanliga lokaler

  • I barken mellan kapsel och märgen.

Funktion

  • Leder primärurin genom tubuli från barkens Nefron mot märgen.

Relaterat

  • Njurbark
  • Njurmärg
  • Nefron

Backlinks

  • Njure
  • Njurmärg
  • index
  • 4.3 Histologi Njurar och Urinvägar