sv: vesica seminalis
en: seminal vesicle

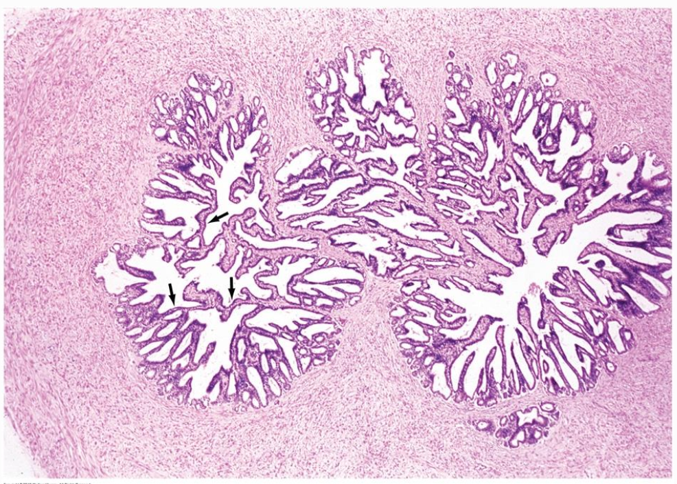
- Mukosa: starkt veckad, bildar komplex labyrint av säckar → flera tvärsnittade lumen ses i histologin.
- Epitel: flerradigt (pseudostratifierat) cylindriskt; principalceller med sekretgranula (fruktos, prostaglandiner, koagulationsproteiner) och små basalceller.
- Lamina propria av lucker bindväv med elastiska fibrer; underliggande muskularis med inre cirkulärt och yttre longitudinellt glatt muskellager.
- Ingen submukosa; adventitia binder sädesblåsan till omgivande vävnad och ureter.
- Sympatikusstimuli under emission → kontraktion och tömning av sekret som utgör ~70 % av sädesvätskans volym.