sv: prostata
en: prostate gland

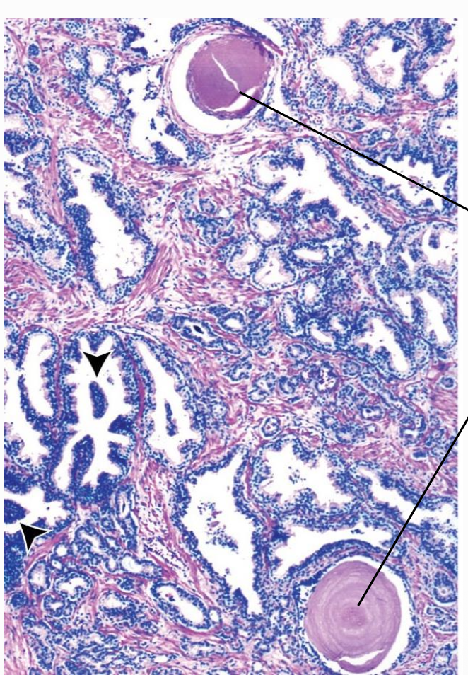
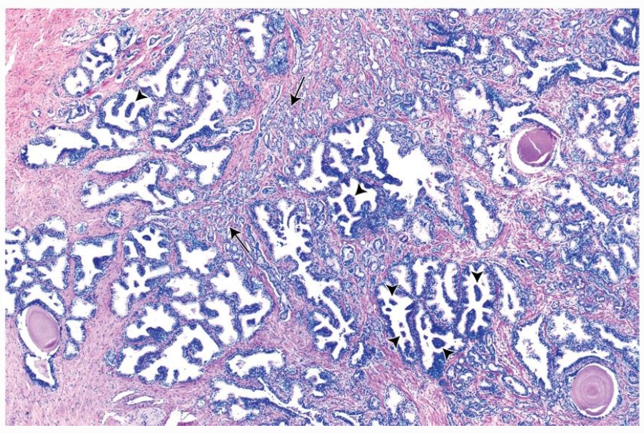
- Tubuloalveolära seromukösa körtlar omgivna av fibromuskulärt stroma (glatt muskulatur + kollagena fibrer). Trichromfärgning visar stroma blått.
- Epitel varierar från lågt kubiskt till pseudostratifierat cylindriskt beroende på hormonell status; sekret rikt på citrat, zink och prostata-specifikt antigen (PSA).
- Corpora amylacea (lamellerade konkrement) ses ofta i lumen hos vuxna och ökar med ålder eller stagnerat sekret.
- Zonindelning: perifer zon (störst, vanligaste platsen för adenocarcinom), central zon (omger ductus ejaculatorius), transitionell zon (hyperplasi/BPH).
- Sympatisk innervation triggar kontraktion av glatt muskulatur → tömning i uretra vid ejakulation.
- Kliniskt: PSA används som biomarkör; kronisk prostatit ger infiltration i stroma; benign hyperplasi orsakar LUTS genom kompression av uretra.