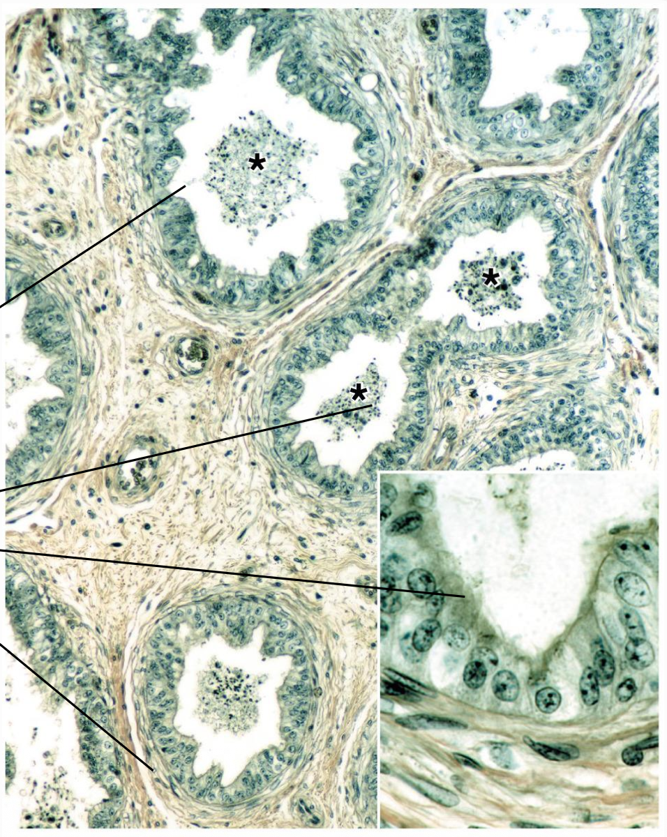
sv: ductuli efferentes
en: efferent ductules

- Förbinder rete testis med ductus epididymis; 10-20 korta kanaler i caput epididymis.
- Epitel: växlar mellan låga kubiska celler (absorptiva, mikrovilli) och höga cilierade cylinderceller → ger karakteristiskt sågformat lumen.
- Basalmembran tunt; omges av cirkulärt glatt muskellager och lucker bindväv.
- Funktion: resorberar majoriteten av testisvätskan och driver spermier framåt via kinocilier och peristaltik.
- Histologiskt kännetecken: fläckvis kluster av celler i lumen representerar aggregerade spermier (stjärnmarkerade i bild).