Johans Anteckningar

Home

❯

Anatomi & Histologi

❯

Histologi

❯

KUG

❯

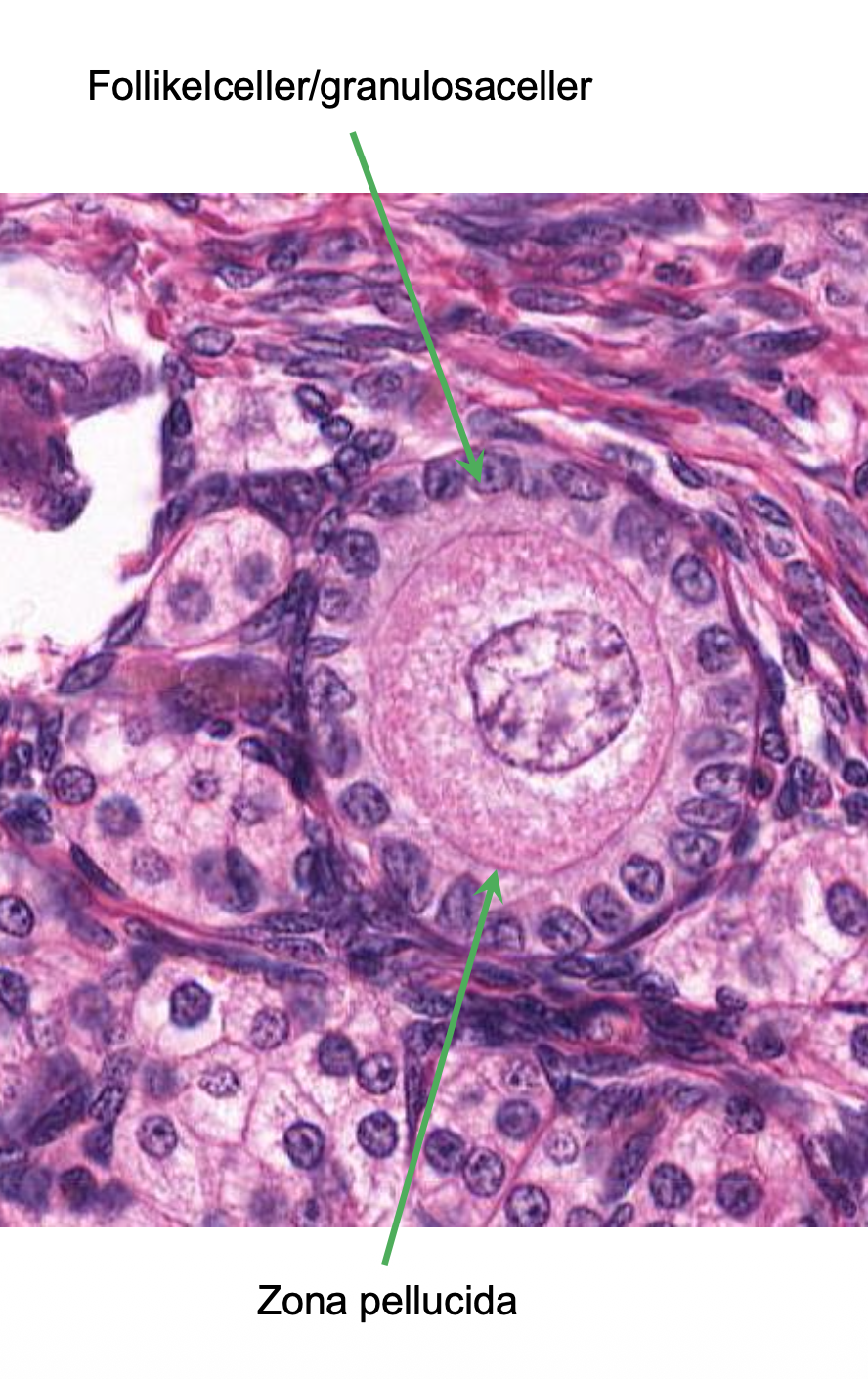
Tidigt primärfollikel

Tidigt primärfollikel

Nov 20, 2025

Mer Enkelt Kubiskt Epitel Zona Pellucida dyker nu upp, är transparent i den be


Backlinks

  • Äggstocksfolliklar