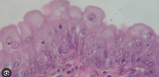
Kännetecken
- Flerskiktat med paraplyceller apikalt; varierar i tjocklek beroende på uttänjning.
Vanliga lokaler
- Urinvägar: njurbäcken, ureter, urinblåsa, proximala uretra.
Funktion
- Sträckbar barriär som tål urinens miljö.
Relaterat
Kännetecken
Vanliga lokaler
Funktion
Relaterat