Huvudidéer

Ovariet Placenta Navelsträng Bröstkörtel

Fakta

F: äggstocken har två separata funktioner, befrukta ägg och produktion av hormoner (östegen och proöstegen)

F: Folikelfaser (oogenesis) & ovarisk cykel

  • producerar oocyter
  • hela cykeln ingår förstörelse/nerbrytelse av det icke befruktade ägget
  • viktig del av menscykeln
  • Histologi:
    • märg inom folliklarna, mycket bv/fett/blob
    • bark: där man ser folliklarna
  • enskiktat kubiskt epitel (EKE) kallas FELAKTIGT för germinalepitel
  • Utsidan av cortex är stram bindväv och heter Tunica albuginea

Faser

  • 400 släpps av många tusen/miljoner 99% dör
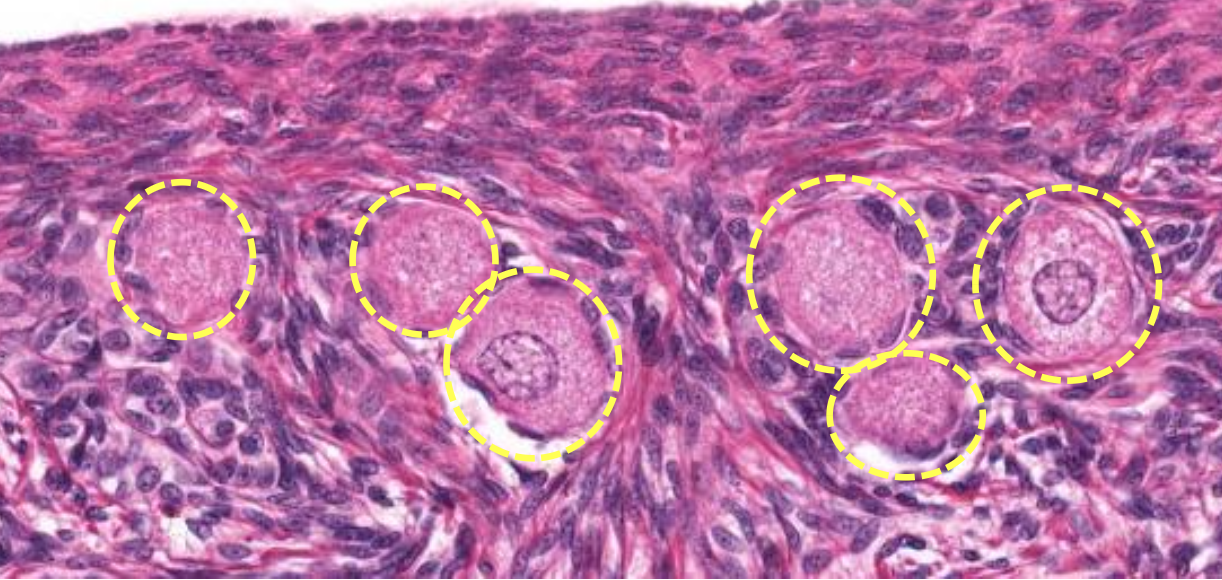
  • Steg 1: Primordialfolliklar
    • minst, proporptionellt stor kärna, ganska platt epitel enskiktat
    • där händer meiosis
    • Största cellen i människokroppen, gigantiska jämfört med epitel tex
    • balbanikropp där det kommer växa
  • Steg 2: tidig primär
    • mer kubiskt epitel
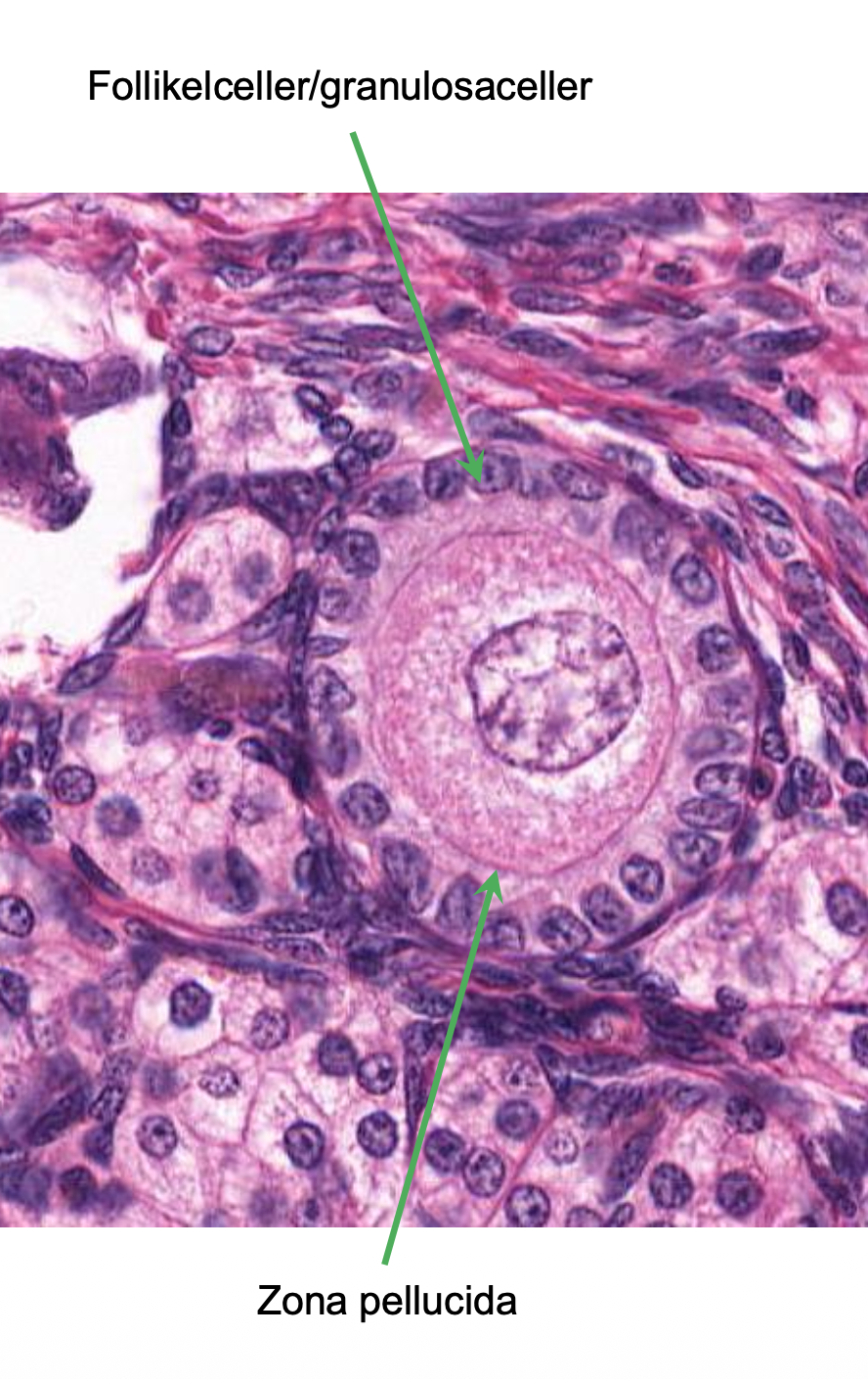
    • zona pellucida är den transparenta och begynnande zonen
  • Steg 3: sen primär
    • flerskiktat kubiskt epitel
    • theca interna ring runt granulosacellerna = tegelstenar
    • Granulosaceller
  • Steg 4: sekundärfas
    • nu dyker antrum upp en stort hål, där det inte finns epitelceller
    • fler lager av epitelceller
    • i yttrelagret dyker theca externa och interna up
      • externa är utdraget skivepitel typ
      • interna ligger bakom blodkärl, ej viljestyrta muskler där hormer från hypofysen tas emot
    • *
    • externa hjälper till att knuffa ut ägget
  • Steg 5: tetriärfollikel aka graafs
    • Nu finns det mycket mer antrum och endast ett tunt lager av granulosaceller kopplat till basalmembranet som heter cumulus oophorus, den som bär ägget, sitter som ett ankare fast
    • dyker även upp corna radiata som är det två inre lagren av granolusaceller den kan man se ganska enkelt utan LM t.ex med ultraljud
  • Steg 6:
    • Nu går ägget ut ur follikeln
  • 600k celler blir aldrig mogna, utan dör via follikulär atresi och apoptos, kan hända när som helst under själva utvecklingen
  • Oklart varför vi har så mycket redundans i kroppen
  • Går att se eftersom man har lite ljusare bakgrund, basisk?
  • Tidig: litet tunt membran, det är det som tar längst tid att bryta ner
  • sen: har immuncellerna börjat bryta ner basalmembranet, ser lite kaotiskt ut

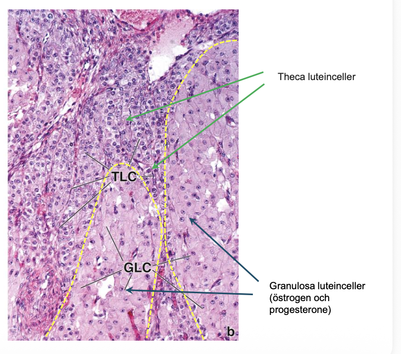
Steg 7: Lutealfas

  • Nu börjar progesteron-produktion (men österogen fortsätter)
  • corpus luteum/gulkropp
  • har endokrina funktioner då den producerar österogen
  • i kanterna mycket bindväv, svarlevor av theca interna
  • det mesta är granulosa celler
  • snitt så vi kan inte alltid se hela kroppen i de preparat vi har i de olika rummen
  • kommer vara i kanten av strukturen, så viktigt att veta hur man ser skillnad
  • corpus albicans som är nästan bara bindvävsärr, vita på utsidan av gulkroppen
  • fortsätter att producera hormon under hela graviditeten, den blir alltså kvar med ett annat namn graviditatis Placenta:
  • ganska komplicerad ur ett histologiskt perspektiv
  • först så kolonierar ägget väggen på livmodern, den sitter fast som en fluga på väggen och gräver ner sig
  • cytotrofoblaster är röda kanten runt
  • ectoterm/mesodem/endoderm
  • blodkärlsväggen utvecklar runt ägget, börjar från basalmembranet och kopplar upp sig mot moderns blodkärl
  • chorionvilli är små kärl inne i placentan
  • uppdelad i fostrets del och mammas del
  • placentabarriären sitten mellan
  • mammas del är kvarlevorna efter xxxx (äggledarföreläsning) och heter decidua som bildas från endometreiet
  • desidua basalis är kvarlevor av uterinian wall
  • sitter ihop, ser ut att vara separata pga tvärsnitt
  • 5cm2 12m2 under graviteten, väldigt stor yta
  • syncytiotrofoblastlager
    • reglerar blodflödet från mamman till fostret
    • också endokrin-funktion producerar hormoner
  • cytotrofoblaster hjälper till med uppbyggnaden av chorionplatta(vägg)
    • går bara att se i tidig graviditet då de sen försvinner
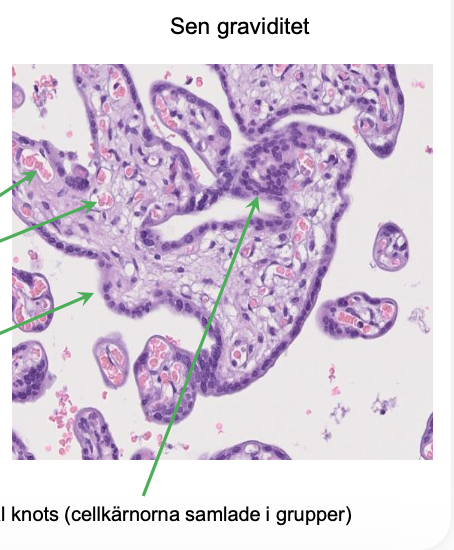
  • syncytial knots är kärnor samlade i grupper som man kan se i sen gravididet

F: decidua basalis

  • kan identiferias av stora ganska rosa färgade celler, de som är kvar i uteri lining after the placenta has fully departed. sourrounded by loose connectiv tissue
  • syncytiotrophoblaser lines the cavity
  • man kan använda de för att se skillnad vad som är mammans och fostret del av placentan

F: navelsträng

  • man kan se vena och arteria umbilicalis
  • ser lite olika ut från vanliga vener eftersom de har mer muskler och tanska tnock tunica media
  • tvärtom här, vener syrerikt, artär syrefattigt
  • aminionepitel:
    • enskiktat kubiskt epitel
    • whartons sylta - gelatinös bindväv som är fultl med fibroblaster
  • hjälper till att skydda vener och artärerna så att de inte kan vikas i magen

F: bröstkörtel

  • sinus lactiferous tillfällig reservoar av mjölk, 3-4 celler tjock
  • Ductus lactiferous leder mjölk från körtel till vårta, två flerradigt cylindriskt epitel
  • TDLU terminal duct lobular unit producerar mjödemolk multiplicerar ordentligt i sen graviditet
  • terminala lobuli
  • sekretoriska cellerna som producerar antikroppar

Bröstkörtel, Mamma: sekretorisk del, myoepiteliala celler, apokrin och merokrin sekretion, körtelgångar, lober och lobuli, ductuli lactiferous/mjölkgångar, sinus lactiferous. Mamill. Icke-lakterande och lakterande mamma. Struktur, förekomst och funktion för talgkörtlar, hår och bröstkörtel

Vad man ska kunna

Hur ser en follikelcell vid follikulär atresi ut? Vad gör zona pellucida? Vilket hormon producerar granolusaceller? Var hittar man glatt muskulatur i ovariet? Vilken cell producerar syncytiotrofoblastlager? Hitta granulosa luteinceller i ett preparat? Identifiera Deciduaceller i ett preparat? Hur identifierar man corpus albicans (bindvävsärr) ? Vilken struktur styr interaktionerna mellan foster och moderciruklationen?

Beskriva ovariets histologiska uppbyggnad och follikelutvecklingen. Beskriva tuba uterinas och uterus histologiska uppbyggnad. Cykliska förändringar av endometriet Beskriva den histologiskauppbyggnaden av vagina och yttre genitalia Beskriva den histologiska uppbygganden av placenta och uppdelningen mellan moderns och fostrets del. Beskriva den histologiska uppbyggnaden av navelsträngen Struktur, förekomst och funktion för bröstkörtel