Huvudidéer
Yttre genitalia läppar/hud/hår Vagina gång/körtlar Cervix ingång till livmoder Uterus plats för fosterutveckling Äggledare/Tuba uterina rör till äggstock
Fakta
FÖ Vävnad som undergår förändring via mens & gravidetet F Mens är egentligen två cykler, ovarisk cykel & menstrual cykel F LH/FSH kontrollerar menstruationscykeln F gonadotrofer/basofiler sekreterar och bestämmer vad som händer i ovariet F själva äggstocken regulerar sig själv via östrogen och proostergen (context, inte proiv) F moderkakan producerar hCG som används för att kontrollera tidig gravidetet (context, inte proiv)
F Labia majora: Talgkörtelm, flerskiktat förhornat skivepitel F Labia minora: FFS och elastik bindväv F Klitoris: Uppbyggnad liknar penis men utan urinrör, båda har erektil vävnad F Klitoris: dorsala nerver, erektil vävnad stram bindväv och blodkärl
- erektilvävnad har sinusoider och icke viljestyrda muskler som pumpar blod in och ut
- inga preparat men ska känna igen vävnaderna FÖ majora är hudliknande, minora är elastik, klitorisk kan ändra storlek via glattmuskulatur
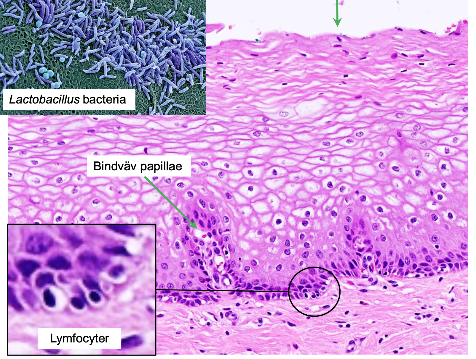
F Vagina är muskös vävnad, liknar t.ex. esofagus
- ep FOS, bindväv i LP, icke viljestyrd, muskeler längs både cirkulärt & longitudinellt, blod in via kärl, mkt muköst. Finns immunceller/lymfocyter i basalmembranet
- skillnad glykgenrikt, sänker ph
FÖ låg pH i vagina hjälper till att skydda mot infektioner

icke viljestyrt, elastisk och behöver mycket blod
F Körtlar: Skenes och Bartholin som sekreterar vätska. Har mukusceller och övergångsepitel FÖ Stor del av vagina, hals är barriärer F Livmoderhals skyddar livmodern från bakteriella infektioner
- FOS epitel, transformationszonen där FOS slutar, mycket celler som förvandlas från EC-epitel till FOS-epitel
- livmoder, FC, transformationzon, FOS, vagina
- ectocervix: FOS, skyddar, finns nabothiska cystor fyllda med mukus, växer i klimakteriet
- transformationzon: mellan endocervix och ectocervix
- endocervix: FC, körtelproduktion, slemproduktion
F: Uterus: se bild för vad som är viktigt
- endometrium inre muskös ändras mest i mens
- perimetrium outside
- myometrium tjock glatt muskulatur, blodkärl F: varje månad ändras för att förbereda för embryo F: stratum basale & functionale F: Uterine gland: EC, LP (stellat+makrofag+lymfocyt) FÖ: vaskulärt(blod) är speciellt, straight/spinal (kluster)/kapillärbäddar
- straight ser man bara själva
- spinal aktiveras av hormon och viktig i mensen
- ett befruktat ägg sätter sig i kapillärbädden och ses i kanaler
F: livmoder faser
- prolifering, SF skapas från SB, EC, cilier för att flytta sekret, sekretoriska celler
- cirkulära körtlar
- sekreterande SF växer, mindre cilier, mkt mer sekretoriska celler
- veckad
- menstruationsfas basale avstängdl stänger kärlen och SF dör, lossnar RBK och nekros
- menstrual phase mycket RBK
F: histologi livmoder EC endo, glatt i myio, seriös och blodkärl i serösa i labbet ser vi bara endometrium
F: uterinetub 10-12cm long, insterstitial→isthmus→ampulla→infudibulum→ovarium
- ratio av muskler och mukosa bestämmer vart man är
- har istmus och ampulla i labbet
- sekretoriska celler heter PEG, de har små toppar/huvud liknar de som ligger i livmodern men har ett annat namn
- inne i LP så hittar vi talrikt med lymfocyter och lite blod F: Istmus: mukös, glatt cirkulär, glatt longituidlär (till skillnad från labia majora?) F: ampulla, stor/bred mukosa (EC och LP, superveckad), tunna lager av icke viljestyrda muskler F: infundibulum, ser likadant ut som ampulla, skillnaden är fingrarna i slutet
menti:
- vilken vaskulär struktur i livmodern är involverad i menstrationsavstötning: spinalartär (fel)
- hitta spiralartär: rätt svar, små kluster inte körtlar
- vilken är livmoderns körtlar i proliferationsfas rätt svar, cirkulära
- vilka strukturella egenskapr skiljer isthmus och ampulla i äggledarna → starkt veckad även tjockleken
- vilken är en cilierande cell → B oh C

Frågor att kunna besvara
Hur viktigt är blod för erektila vävnader? Glatt muskulatur separat och inbäddad i olika vävnader?
Klinisk koppling
FÖ i transformationszonen kan man få HPV
Begrepp att slå upp
Menti: mest fel, plugga livmodelhals, labia major/minor