Johans Anteckningar
Search
Search
Dark mode
Light mode
Reader mode
Explorer
Home
❯
Anatomi & Histologi 2
❯
Gamla tentor
❯
2025 02 08
❯
17
17
Feb 08, 2025
ah2
provfråga
frågetyp/textfält
histologi
preparat
bild
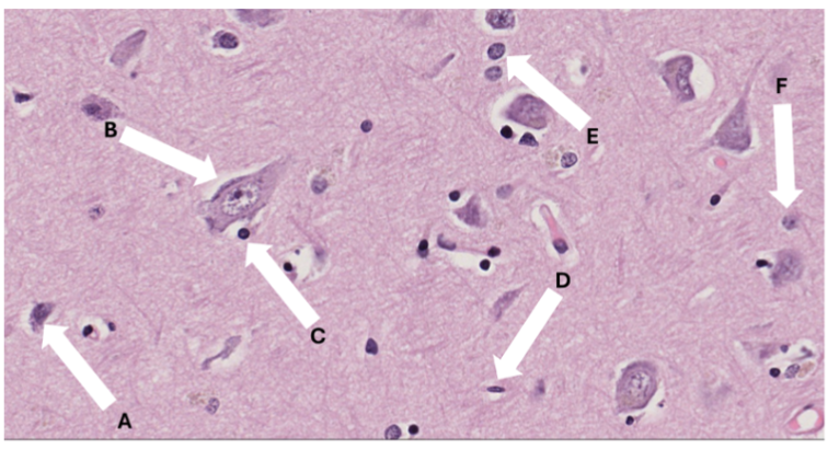
Vilken av dessa celler producerar myelin? C (1p)
TODO