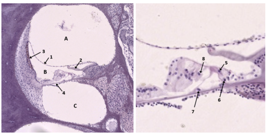
Vilken bokstav markerar ett utrymme med endolymfa? Vilken siffra markerar membranet som binder till hårcellernas utskott? Vilken siffra markerar en yttre hårcell? Vilken siffra markerar området där K -joner pumpas in i scala media?

  • 3 (0,5 p för varje rätt svar, totalt 2p)
TODO