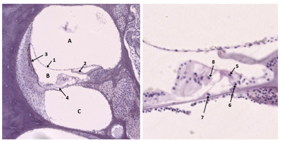
Bilden visar en del av hörselsnäckan (vänster) med förstorning av cortiska organet (höger). (0,5p per rätt svar, totalt 2p)

Vilken bokstav markerar scala vestibuli? Vilken siffra markerar tektorialmembranet? Vilken siffra markerar området som aktivt pumpar K -joner tillbaka till endolymfan?

  • 3 Vilken siffra markerar en pelarcell?
TODO