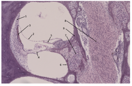
a) Vilken siffra pekar på strukturen som separerar scala media från scala vestibuli ? (1..9)
b) Vilken siffra pekar på nervcellerna (somat) som innerverar hårcellerna? (1..9)
(0,5p per rätt svar)
a) 2
b) 7
a) Vilken siffra pekar på strukturen som separerar scala media från scala vestibuli ? (1..9)
b) Vilken siffra pekar på nervcellerna (somat) som innerverar hårcellerna? (1..9)
(0,5p per rätt svar)
a) 2
b) 7