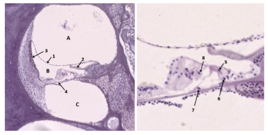
a) Vilket utrymme innehåller vätska med högst koncentration av K+-joner? (ange bokstav)? (A, B, C)
b) Vilken siffra markerar en “inre hårcell”? (1..8)
(0,5p per rätt svar)
a) B
b) 5
a) Vilket utrymme innehåller vätska med högst koncentration av K+-joner? (ange bokstav)? (A, B, C)
b) Vilken siffra markerar en “inre hårcell”? (1..8)
(0,5p per rätt svar)
a) B
b) 5