CNS
CENTRALA NERVSYSTEMET (CNS) (Kapitel 12)
1. CELLER I CNS
Nervcellens soma varierar kraftigt i storlek ~5-140 µm i olika områden i CNS. Kärnan i multipolära nervceller som motoriska framhornscellerna i ryggmärgen (NE8), nervcellerna i storhjärnans cortex, hippocampus (NE21) och hjärnstam (NE23) samt i cerebellums Purkinjeceller (t.ex. NE13) är oftast runda, ljusa och innehåller en nukleol. I mindre neuron kan kärnan vara mörkare. De stora nervcellerna har rikligt med granulärt (rough) endoplasmatiskt retikel, RER. Det klumpar ihop sig och färgas kraftigt med basiska färger (t.ex. kresylviolett eller toluidinblått) och kallas Nissl-substans (Fig 12.4). Ibland kan man se neuron med lipofuscingranulae, gulbruna pigment, en biprodukt som ökar med åldern**.** Observera att det krävs specialfärgningar för att kunna urskilja dendriter och axon från varandra och från gliacellsutskott.
Astrocyten är stjärn- till buskformad (OBS! syns bara i specialfärgning, t.ex. NE11) med en oval kärna, som kan innehålla flera nukleoler (i rutinfärgningar kan alltså bara cellkärnan urskiljas). Astrocyter är den vanligaste gliacellen, numerärt fler än nervceller och finns i hela CNS. Gliacellutskott kan bara särskiljas med specialfärgningar, t.ex. i det cerebellum-preparat som är specialfärgat för det specifika astrogliacellsproteinet ”glial fibrillary acidic protein” (GFAP) (NE11). Astrocyterna delas in i två huvudgrupper: 1) Protoplasmatiska astrocyter i den grå substansen. 2) Fibrillära astrocyter, som har tunnare utskott och är mera spindellika finns i den vita substansen, se NE11 i cerebellums vita substans (Fig 12.17;12.18;). Astrocyter (astroglia) kan hittas i alla rutinfärgade neuropreparat, t.ex. ryggmärgen (NE8), hippocampus/ cortex cerebri (NE21), cerebellum (t.ex. NE13) och hjärnstam (NE23).
Oligodendrocyten som producerar myelin har en liten (ungefär lika stor som en erytrocyt), klotrund och oftast starkt kondenserad kärna. Finns i hela CNS, både i grå och i vit substans. I rutinfärgning ses bara kärnan (Fig 12.20). Oligodendrocyter (oligodendroglia) kan hittas i alla rutinfärgade neuropreparat, fr.a. i vit substans i t.ex. ryggmärgen (NE8), hippocampus/cortex cerebri (NE21), hjärnstam (NE23) och cerebellum (t.ex. NE13).
Mikrogliacellerna är fåtaliga men finns i hela CNS, både i grå och i vit substans (Fig. 12.21). De har en avlång (fibroblastlik) kärna och identifieras säkrast med specialfärgningar som i NE25 (medulla oblongata). Cellerna finns i både grå och vit substans och är små, täta och långsträckta med utskott som utgår från polerna. Kärnan är antingen konisk, lite avlång. Mikroglia som aktiveras vid t.ex. skada får en ökad fagocyterande förmåga och cellen blir då amöbalik.
Ependymcellen inkläder hjärnans ventriklar och syns snyggt i ryggmärgskanalen (Fig 12.22; NE8)
2. RYGGMÄRG
(plate 31; Figs 12.22; 12.30)
I tvärsnittet av ryggmärg ses olika typer av nervceller och gliaceller (mikrogliacellen är dock svår att identifiera i rutinfärgningar men syns som sagt snyggt i specialfärgningen NE25). Den grå substansen liknar ett ”H” (eller en fjäril), med framhorn och bakhorn. Utanför ligger den vita substansen. Den grå substansen innehåller nervcellskroppar, axon, dendriter, olika gliacellstyper, astrocyter, oligodendrocyter och mikroglia. Framhornen skiljer sig från bakhornen genom att de inte går ut till kanten av ryggmärgen. De är oftast tjockare än bakhornen. I framhornen finns de motoriska nervcellerna, stora multipolära nervceller. Bakhornen är oftast smalare och fortsätter ut genom hela den vita substansen. I bakhornen hittar vi mindre sensoriska neuron. Ibland finns ett lateralhorn (beror på vilket segment snittet är taget ifrån). Här är preganglionära neuron i det autonoma nervsystemet lokaliserade. Den vita substansen innehåller tvärsnittade axon, astrocyter, oligodendrocyter och mikroglia (svåra att se i rutinfärgning). Mitt i ”H’t” ser man cerebrospinalkanalen med kubiska-cylindriska ependymceller. Cellerna är oftast både cilierade och har mikrovilli. (Fig 12.22).
NE8 tvärsnitt (OBS! Olika species och färgningar förekommer i NE8).
3 CEREBELLUM (Lillhjärnan)
(plate 30; Fig 12.28)
Den yttre grå substansen, cortex cerebellaris, består av 3 lager (se t.ex. NE13 och NE15, rutin-färgningar): 1) Stratum/Lamina molecularis, glest med små nervceller; stjärncellerna ligger närmast pian och korgcellerna längre ner närmare Purkinjecellslagret. Liksom i övriga CNS finns alla typer av gliaceller i hela cerebellum (se ovan för att urskilja de olika typerna i rutinfärgningar). 2) Purkinjecellslagret. En enkel rad med de största nervcellerna i lillhjärnan, Purkinjecellerna. 3) Stratum/Lamina granularis, ett mörkt cellrikt korncellslager. Glomeruli cerebelli är stora ”synapsnystan” mellan inkommande axon (mossfibrer) och korncellsdendriter och ses som ljusa öar i stratum granularis. Stratum/lamina granularis innehåller också ett litet antal Golgiceller som ligger i det övre skiktet och ibland inne i Purkinjecellslagret. Golgicellernas cellkärnor är större än korncellernas kärnor men de är svåra att urskilja i det kompakta korncellslagret. Även gliaceller är svåra att identifiera utom i NE11. Vit substans finns under stratum granularis med talrika oligodendrocyt- och astrocyt-cellkärnor och bildar en trädlik struktur: Arbor vitae som betyder livets träd (NE8).
Specialfärgningar: Dendriterna till Purkinjecellerna i l. molekylaris kan urskiljas med specialfärgning av en typ av neurofilament som dominerar i dendriter (NE10). Astrocyt-utskott kan urskiljas med specialfärgning mot ett intermediärfilament, “glial fibrillary acidic protein” (GFAP). Immunfärgning för GFAP ger infärgning av cellkropp och utskott, men ej av kärnan. Man ser dels Bergmangliacellernas radialutskott som går vinklerätt mot ytan i l. molekylaris från Purkinjecellslagret (NE11) dels astrocyterna och deras utskott i l. granularis och i vit substans. Korgcellernas axon i l. molecularis och Purkinjecellslagret kan urskiljas med en specialfärgning för axon (NE14). Purkinjecellerna omges av en ”korg” av dessa axon. (Det finns artefaktmässiga blåsor i den vita substansen.)
NE10 -Neurofilamentfärgning, fina Purkinjecellsdendriter (titta i olika NE10). NE11 -Immunhistokemisk färgning för GFAP med Bergmann- gliautskott i l. molekylaris och astrocyt-utskott i l. granularis och vit substans. (NE12 OBS! Finns endast ett fåtal preparat, Immunohistokemisk färgning för GABA färgar stjärn-, och korgcellernas soma).
NE13, 15, 16 -Rutinfärgningar. Cortex med de olika lagren, vit substans syns bra. NE14 -Specialfärgning för korgcellernas axon som bildar en ”korg” runt Purkinjecellernas bas.
4. CEREBRUM/CORTEX CEREBRI
(plate 29; Fig 12.27)
De vanligaste nervcellstyperna i storhjärnsbarken, cortex cerebri, är pyramidcellen och korncellen. Utskotten, som syns dåligt i rutinfärgningar, är mera tydliga i specialfärgningen för neurofilament (NE17). Pyramidcellerna är allra störst i det inre pyramidcells-lagret i motorisk cortex (V) som i råttans hjärna är lokaliserat lateralt om medellinjen (i homo i gyrus precentralis). Här kan man se hur apikaldendriten sträcker sig ut mot ytan. I sensoriskt cortex, som är lokaliserat till medellinjen på råtta (i homo i g. postcentralis) dominerar korncellerna.
Från hjärnytan till den vita substansen ser man följande lager:
1) Lamina molecularis, består mest av fibrer som går parallellt med ytan, ganska få celler. 2) Lamina granularis externa, framförallt kornceller. 3) Lamina pyramidalis externa, ej skarpt avgränsat från lamina granularis externa. Innehåller pyramidceller men även korncellerna. 4) Lamina granularis interna, kornceller. 5) Lamina pyramidalis interna eller lamina ganglionaris, pyramidceller, större än de i lager 3. I motorcortex finns mycket stora pyramidceller s.k. Betz jätteceller vars axon bildar pyramidbanan. 6) Lamina multiformis, med bl.a. spolformiga celler -”fusiform cells” blandat med ett fåtal stora pyramidceller samt kornceller.
Den vita substansen tar vid under lamina 6. Gliaceller finns i alla lager (men syns inte i NE17).
Motorisk bark är totalt sett tjockare än sensorisk bark. I motorisk bark dominerar lager 3 och 5 och i sensorisk bark dominerar lager 2 och 4. Övergången från motorisk till sensorisk bark ses som en uttunning av lager 3 och 5 när man går från periferin in mot medellinjen i NE17.
NE17 -Neurofilamentfärgning (råtta);
5. HJÄRNSTAM
(ingen plate eller Fig i läroboken, men se film på Canvas)
Hjärnstammen ligger under cerebellum. En kärna/nukleus i CNS är en grupp av nervceller som är funktionellt sammanlänkade. Stora nervceller ligger bilateralt i grupper i NE23.
NE23 – Hjärnstammen (Medulla oblongata).
6. HIPPOCAMPUS
(ingen plate eller Fig i läroboken, men se film på Canvas)
Liksom cortex cerebri innehåller hippocampus pyramidceller och kornceller. Hippocampus består av en utvecklingsmässigt äldre typ av cortex där pyramidcellerna bildar en C-formation (påminner i tvärsnitt om den egyptiske guden Ammons horn, Cornu Ammonis, därav CA-regionen). I tvärsnitt brukar CA-regionens delas in i 3-4 avsnitt, CA1, (CA2), CA3 (böjen) och CA4. Den inre CA4-regionen omsluts av den V-(eller U-) formade gyrus dentatus. Tillsammans bildar pyramidcellerna och korncellerna en formation som (med lite fantasi) kan liknas vid ett G eller 2 C i varandra. Korncellerna ligger tätt och då de dessutom är mindre än pyramidcellerna, ger de sitt lager en mörkare färg än lagret med pyramidcellerna. Pyramidcellerna ger ett ljus intryck p.g.a. deras stora ljusa kärnor. Plexus choroideus, som kan ses i ventrikeln i anslutning till hippocampus, består av specialiserade kubiska ependymceller som omsluter kapillärer.
(NE20), NE21)
SINNESORGAN (ÖGA ÖRA)
(Kapitel 24 och 25)
1. ÖGAT och ÖGONBULBEN
(kapitel 24; plate 104 - 107)
Vid makroskopisk inspektion ser man ögonbulbens yttre cirkulära begränsning med dess lager (tunikor), som är 3 till antalet:
- cornea och sclera
- uvea, samlingsnamn för ögats vaskulära delar och består av iris, ciliarkroppen och choroidea, samt
- retina.
Linsen ser man i ögats främre del. Tre olika hålrum finns i ögat:
- främre ögonkammaren, mellan cornea och iris,
- bakre ögonkammaren, mellan iris och lins, samt
- glaskroppen, stora hålrummet.
Mikroskopiskt urskiljer man lager och celltyper i flera olika strukturer.
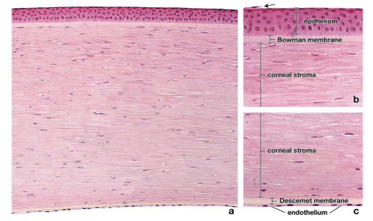
Cornea – hornhinnan (Fig 24.4) utgör begränsning i ögats främre pol och här ser man utifrån:

1) Epitelcellslager, flerskiktat skivepitel. 2) Bowmans membran. Homogent lager av kollagena trådar. Viktigt för corneans stadga samt utgör ett skydd mot infektioner. 3) Tjockt stroma. Ca 60 lameller kollagena trådar. Mellan lamellerna finns fibroblaster. Viktig för ögats transparens. 4) Descements membran, ett nätverk av fibrer och porer, förtjockat basalmembran. 5) Endotel, enskiktat skivepitel. Metabolt utbyte mellan cornea och främre ögonkammaren.
Cornean/hornhinnan övergår lateralt i sclera/senhinnan, som omsluter resten av bulben och utgörs av stram bindväv. Vid sclerans yttre gräns kan ibland ögonmusklernas fästen ses.
FRÅGA: Vart exakt ligger övergången mellan cornea och sclera, hur identifierar man den?
Iris (Fig 24.7; 24.8)
Består av ett främre ”blad” med lucker bindväv och melanocyter samt ett bakre ”blad” med två lager pigmenterat kubiskt epitel. Få melanocyter ger blå ögonfärg, ökad pigmentering förändrar ögonfärgen mot grönblått, grått och brunt. Iris övergår lateralt i corpus ciliare - ciliarkroppen
FRÅGA: Hur påverkar pigmenteringen färgen, t.ex. blå eller grön. Går det att säga vilken färg iris har i spectra?
(Fig 24.7) som utgörs av talrika glatta muskelceller med insprängda melanocyter. Från ciliarkroppen utgår ciliarutskotten, vilka utgörs av veckbildningar täckta av två lager kubiskt epitel, varav det ena (mot muskelcellerna) är pigmenterat. Ciliarkroppen övergår bakåt i choroidea.
FRÅGA: Var ser man övergångarna mellan ciliarkroppen/choroidea?

Linsen (Fig. 24.8b, 24.16)
Linsen hittas lätt i preparatet och man ser de koncentriskt arrangerade linsfibrerna. Linsen avgränsas av en linskapsel, ett förtjockat basalmembran. På framsidan av linsen finns det enskiktade kubiska linsepitelet (under linskapseln). I ögats bakre pol studerar man med fördel sclera, choroidea, och retina.
Ytterst ligger sclera, som består av stram bindväv. Innanför sclera ligger choroidea - åderhinnan, som består av bindväv, blodkärl och melanocyter. Innanför choroidea ligger retina.
Retina (plate105; Fig 24.9)
Retina består av följande lager utifrån och in:
1) Pigmentepitel, enskiktat kubiskt epitel. Utgör en blod-retina-barriär. 2) Tappar och stavars ljuskänsliga segment 3) Membrana limitans externa, yttre gränsmembran, mycket tunt. Zonula adherens mellan Müllerceller och fotoreceptorernas yttre segment. 4) Yttre kärnlagret, tappars och stavars kärnor. 5) Yttre plexiforma skiktet, Tappars och stavars utskott, samt utskott tillhörande horizontalceller och bipolära celler. 6) Inre kärnlagret, cellkroppar tillhörande bipolära neuron, horisontalceller, amakrina celler och Müllerceller (en typ av gliaceller). 7) Inre plexiforma skiktet, utskott tillhörande amakrina celler, bipolära celler och ganglieceller. 8) Gangliecellslagret. Cellkroppar till ganglieceller. 9) Nervfiberlagret. Axon tillhörande gangliecellerna som leder information från retina till hjärnan. Axonen är icke myeliniserade. 10) Membrana limitans interna, inre gränsmembran, mycket tunt. Müllercellernas basalmembran.
FRÅGA: Varför går ljuset genom lager 3-10, vore det inte bättre om det gick direkt mot fotokänsliga receptorer mot glaskloppen/lumen? FRÅGA: I det yttre plexiforma lagret sker någon slags processering, eftersom flera. tappar/stavar skickar information till en horizontalcell? Vilken slags processering sker här?
Innanför retina finns glaskroppen, den är löst fäst mot membrana limitans interna. En strukturlös gel som är transparent.
FRÅGA: I NE31 tycker jag att man ser stavar och tappar, går snittet inte rakt igenom blinda fläcken?
NE29 helt öga; NE31 nervus opticus (plate 105). Myeliniserade, tunna axon omgivna av meningier.
2. INNERÖRAT
(kapitel 25; plate 108 och 109; Fig 25.13; 25.16, 25.19)
Preparatet visar cochlea med 5-6 tvärsnitt av Cortiska organet. I vissa preparat ses även en del av vestibularisapparaten med ampulla. I cochleans centrum ser man modiolus, som utgörs av spongiöst ben (oftast ljusblått), nervus cochlearis, hörselnerven, samt ganglion spirale, spiralgangliet, som består av bipolära neuron.
I varje vindling av cochlea ser man tre hålrum: Scala vestibuli, som begränsas neråt av membrana vestibularis (Reissners membran). Scala media, som begränsas neråt av membrana basilaris och uppåt av membrana vestibularis. Scala tympani ligger under Scala media och begränsas uppåt av membrana basilaris. Cortiska organet, i scala media, vilar på membrana basilaris över vilket membrana tectoria/tektorialmembranet, ett tunt ljusblått membran, som oftast är uppvikt, vilar. Identifiera den inre tunneln, som omges av pelarceller, röda, som ibland är söndertrasade. Bredvid pelarcellerna/inre tunneln, mot centrum, ligger den inre hårcellen, vilande på sin falangealcell (stödjecell). På andra sidan om pelarcellerna/inre tunneln ligger 3-5 rader yttre hårceller, med yttre falangealceller (stödjeceller), Deiterceller. Yttre tunneln ligger utanför dessa och oftast lite högre upp (oftast trasig). Utanför yttre hårcellerna syns ibland Hensens celler. Scala medias lateralvägg utgörs av stria vascularis, ett flerradigt cylinderepitel (pseudostratifierat) som bildar endolymfa och ansvarar för K+- homeostasen. Scala vestibuli och scala tympani innehåller däremot perilymfa, som har en jonsammansättning lik den i blodplasma.
NE34 -Cochlea (hörselsnäckan)
Preparat i låda I (2018-01-10)
| CV 1 | Blodutstryk | MT 16 | Spottkörtel | ||
| CV 2 | Plasmaceller, näspolyp | MT 17 | Spottkörtel | ||
| CV 3 | Sternalpunktat, utstryk | MT 19 | Tand in situ | ||
| CV 4 | Bindväv med mastceller | ||||
| DV 5 | Sena längs och tvärs | LY 1 | Lymfkörtel | ||
| CV 6 | Sena och muskel | LY 2 | Lymfkörtel | ||
| CV 8 | Septum nuchae, tvärs | LY 3 | Kärl-fett lymfkörtel | ||
| CV 9 | Bindväv med makrofager | LY 4 | Tonsilla lingualis | ||
| CV 10 | Revbensbrosk | LY 5 | Tonsilla pallatina | ||
| CV 11 | Revbensbrosk | LY 6 | Thymus | ||
| CV 12 | Elastiskt brosk, epiglottis | LY 7 | Thymus | ||
| CV 13 | Fibrillärt brosk, intervertibralskiva | LY 8 | Mjälte | ||
| CV 14 | Ben, längs, slipprep. | LY 9 | Mjälte | ||
| CV 15 | Ben, tvärs, slipprep | LY 10 | Mjälte | ||
| CV 16 | Ben, femur, tvärs | ||||
| CV 17 | Fosterled De la Field | RE 1 | Nässlemhinna | ||
| CV 18 | Tibia | RE 2 | Trachea | ||
| CV 19 | Embryonalt hjässben | RE 3 | Lunga + bronk | ||
| CV 20 | Skelettmuskel, längs Ej i alla lådor | RE 4 | Lunga | ||
| CV 21 | Skelettmuskel, längs + tvärs | ||||
| CV 22 | Skelettmuskel, makrofager Ej i alla lådor | EN 1 | Thyreoidea | ||
| EN 2 | Parathyreoidea | ||||
| H****K 1 | Hjärtmuskel | EN 3 | Hypofys | ||
| HK 2 | Hjärtmuskel | EN 4 | Hypofys | ||
| HK 3 | Hjärtklaffar | EN 5 | Hypofys | ||
| HK 4 | Hjärta | EN 6 | Epifys | ||
| HK 5 | Hjärtmuskel med pigment | EN 7 | Binjure | ||
| HK 6 | Muskelartär och -ven | ||||
| HK 7 | Hjärtmuskel, purkinjeceller | G****I 2 | Oesophagus, nedre delen | ||
| HK 8 | Aorta | GI 3 | Oesophagus och ventrikel | ||
| HK 9 | Aorta | GI 4 | Corpus ventrikuli | ||
| HK 10 | Vasa popliteae Ej i alla lådor | GI 5 | Corpus ventrikuli | ||
| HK 11 | Mesenterialkärl | GI 6 | Cardia ventrikuli, mastceller | ||
| HK 12 | Plexus choroideus | GI 7 | Pylorus (övergång ventrikel- duodenum | ||
| HK 13 | Vena cava | GI 8 | Duodenum | ||
| HK 14 | Artär, ven, nerv, fettväv (brun+vit) | GI 9 | Jejunum | ||
| MT 1 | Tungrand | GI 10 | Ileum | ||
| MT 2 | Papilla circumvallata | GI 11 | Tunntarm | ||
| MT 3 | Papilla filiformis | GI 12 | Peyers pl. Ej i alla lådor | ||
| MT 4 | Papilla fungiformis | GI 13 | Jejunum | ||
| MT 5 | Papilla vallatae Ej i alla lådor | GI 14 | Jejunum | ||
| MT 6 | Läpp | GI 15 | Appendix | ||
| MT 7 | Tandanlag | GI 16 | Kolon | ||
| MT 11 | Tand, slipsnitt Ej i alla lådor | GI 17 | Rektum Ej i alla lådor | ||
| MT 12 | Tunga | GI 18 | Rektum/analkanal | ||
| MT 13 | Glandula parotis | GI 19 | Kolon | ||
| MT 14 | Blandad spottkörtel, gl.sublingualis | GI 20 | Rektum | ||
| MT 15 | Blandad spottkörtel, gl. submandibularis | GI 21 | Anus |
Preparat i låda II (2018-01-10)
| LP 1 | Lever | HU 1 | Hjässhud | ||
| LP 2 | Lever | HU 2 | Hjässhud Ej i alla lådor | ||
| LP 4 | Lever, v.Kupfferska stjärnceller | HU 3 | Scrotalhud | ||
| LP 5 | Lever, gallblåsa | HU 4 | Axillarhud Ej i alla lådor | ||
| LP 6 | Gallblåsa | HU 5 | Nagel | ||
| LP 8 | Duodenum, pankreas | HU 6 | Tåblomma | ||
| LP 9 | Pankreas | HU 7 | Fingerblomma | ||
| LP 10 | Pankreas | HU 8 | Mamma, icke lakterande | ||
| LP 11 | Pankreas | HU 9 | Mamma, lakterande | ||
| LP 12 | Pankreas | HU 10 | Mamill | ||
| NU 1 | Njure | ||||
| NU 2 | Njure | ||||
| NU 3 | Njure + binjure | NE 1 | Spinalganglion | ||
| NU 4 | Embryonal njure | NE 2 | Spinalganglion | ||
| NU 5 | Ureter/ Urinledare | NE 3 | Sympatiskt ganglion | ||
| NU 6 | Ureter/ Urinledare | NE 4 | Nerv (autonom) och elastisk artär | ||
| NU 7 | Urinblåsa, utspänd | NE 5 | Nerv, ischiadicus, tvärs Ej i alla lådor | ||
| NU 8 | Urinblåsa, tömd, | NE 6 | Nerv, ischiadicus | ||
| MG 1 | Testis, prepubertal | NE 7 | Nerv Ej i alla lådor | ||
| MG 2 | Testis Ej i alla lådor | NE 8 | Ryggmärg (tvärs) | ||
| MG 3 | Testis | NE 10 | Cerebellum, neurofilament | ||
| MG 4 | Testis + epididymis | NE 11 | Cerebellum, gliafilament | ||
| MG 5 | Funiculus spermaticus | NE 12 | Cerebellum, GABA | ||
| MG 6 | Ductus deferens | NE 13 | Cerebellum | ||
| MG 7 | Vesicula seminalis | NE 14 | Cerebellum | ||
| MG 8 | Prostata | NE 15 | Cerebellum | ||
| MG 9 | Penis, tvärsnitt | NE 16 | Cerebellum Ej i alla lådor | ||
| MG 10 | Penis eller testis | NE 17 | Frontalsnitt hjärna, motorisk och sensorisk bark, neurofilament | ||
| K****G 1 | Ovarium | NE 18 | Cerebrum, synbark Ej i alla lådor | ||
| KG 2 | Ovarium | NE 20 | Frontalsnitt hjärna | ||
| KG 3 | Ovarium, överårigt | NE 21 | Hippocampus + cortex + Sidoventrikel med plexus choroideus | ||
| KG 4 | Ovarium | NE 23 | Laterala vestibulariskärnan | ||
| KG 5 | Tuba uterina | NE 25 | Medulla oblongata.mikrogliaceller | ||
| KG 6 | Ampulla tubae | NE 26 | Nervändslut i muskulatur | ||
| KG 7 | Isthmus tubae | NE 27 | Tvärstrimmig muskel med muskelspole | ||
| KG 8 | Uterus | NE 28 | Vater-Paccinis nervändkropp mesenterium | ||
| KG 9 | Endometriumskrap, prol.fas | NE 29 | Bulbus occuli | ||
| KG 10 | Endometriumskrap, sekr.fas | NE 31 | Nervus opticus | ||
| KG 11 | Vagina | NE 34 | Cochlea | ||
| KG 12 | Placenta | ||||
| KG 13 | Placenta och foster | ||||
| KG 14 | Placenta | ||||
| KG 15 | Navelsträng | ||||
| KG 16 | Cervix |